Unsere Leistungen
Im Dentallabor Kreylos wird das gesamte Spektrum der modernen Zahntechnik angeboten. Die Qualität wird bei uns über die Präzision, Funktionalität und, besonders wichtig, über die Ästhetik definiert.
Die herausragende Spezialität unseres Labores ist mit Hilfe spezieller Gusstechnik und der Funkenerosion spannungsfreie Kombinations- und Teleskopprothesen aus nichtedelmetallhaltigen Legierungen (NEM) herzustellen, sowohl zahngetragen, rein implantatgetragen oder in Kombination von beiden. Hier ist die abnehmbare Brücke, keramisch verblendet seit 1990, hervorzuheben, was bis heute eine Besonderheit in der Zahntechnik darstellt.
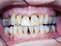
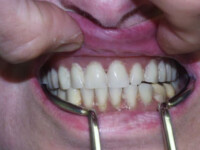
Beispiele Abnehmbare Brücken
Die große Herausforderung ist bei Zahnersatz immer die Frage, festsitzend oder herausnehmbar. Die abnehmbare Brücke vereinigt die Vorteile einer Brückenkonstruktion mit dem geringen Platzbedarf und der Teleskopversorgung, die eine optimale Belastung der meist parodontal angeschlagenen Pfeilerzähne. Die teleskopierende Brücke wird, sowohl Primärkronen als auch das Sekundärgerüst, aus nickelfreiem NEM hergestellt. Wegen des speziellen Gußverfahrens kann das Sekundärgerüst in einem Stück hergestellt werden, womit Lötungen und Verklebungen entfallen und somit der Patient keine galvanischen Spannungen wegen verschiedener Metalle im Mund aufbauen kann. Auf Grund der hohen Festigkeit der NEM-Legierung können die Primärkrone und das Sekundärgerüst sehr grazil gestaltet werden und über die Friktionsstifte können die genau definiert und eventuell später nachjustiert werden. Die Besonderheit bei den von uns hergestellten Teleskopen ist die keramische Verblendung. So läßt sich bei geringerer Verblendstärke, im Vergleich zum Kunststoff ein ästhetischeres Ergebnis erzielen.


Ein weiterer Vorteil der Teleskopprothese ist die gute Kombinierbarkeit mit Implantaten. Bei zu geringem Restzahnbestand oder sehr stark angeschlagenen Pfeilerzähnen ist es möglich Implantate einzusetzen als Pfeilervermehrung. Über eine Kugelknopfverankerung lässt sich das fest im Kiefer eingewachsene Implantat mit den beweglichen Zähnen verbinden, ohne dass es zu Problemen an den Implantaten, z.B. Schraubenlockerung kommt oder die natürlichen Zähne zu stark durch die Implantate geschient werden und somit die parodontal positiven Effekte der Teleskopprothese verloren gehen.


Beispiele Totalprothesen
auf Implantatsteg-Konstruktionen
Bei kompletten Zahnverlust ist die klassische Versorgung die Totalprothese. Auch hier steht bei uns der Tragekomfort und die Ästhetik im Vordergrund. Es werden und Kunststoffe und konfektionierte Zähne verwendet, die sich durch hohe Formstabilität und Abriebfestigkeit auszeichnen.


auf Implantatsteg-Konstruktionen
Um den Tragekomfort bei Totalprothesen zu erhöhen, besteht die Möglichkeit, Implantate einzusetzen. Modellgußbasierte Prothesen fixiert mit Implantaten zeichnen sich dadurch aus, dass die Implantate mit einem Steg verbunden sind und so die Sekundärkonstruktion über Schwenkriegel am Kiefer fixiert wird. Die Stege bestehen aus einer biokompatiblen NEM-Legierung. Die Stege werden individuell gefertigt, passend zur Zahnaufstellug, damit ausreichend Platz für die Zunge bleibt. Wegen der hohen Stabilität der Legierung können Steg und Suprakonstruktion extrem graxil gefertig werden. Auch hier steht die Verträglichkeit des Metalles im Vordergrund, zwischen NEM und dem Titan der Implantate kommt es nicht zu galvanischen Spannungen, dies ist bei Gold nicht auszuschließen, zusätzlich muss Gold aus Grund der geringeren Stabilität stärker dimensioniert werden, was zu Platzmangel führt und sich in enormen Materialkosten wiederspiegelt.


Beispiele Kronen-Brückentechnik
Alle von uns verwendeten Gerüstmaterialien zeichnen sich durch ihre hoch Verträglichkeit aus. Das Nichtedelmetall (NEM) ist nickelfrei und kann wegen seiner hohen Stabilität äußerst grazil dimensioniert werden. Preislich ist es das günstigste der verwendeten Materialien. Die folgenden Bilder zeigen 4 verblockte Frontzahnkronen, verblendet auf einem NEM-Gerüst.
Goldlegierungen werden auch verwendet, sind aber weicher und brauchen dadurch eine höhere Gerüststärke, was den Materialpreis deutlich steigen lässt. Sie sind sinnvoll, wenn andere Versorgungen im Mund auch schon in Gold gefertigt wurden. Wenn man keine metallunterstützte Krone oder Brücke wünscht, ist das Zirkon heute das Mittel der Wahl. Es hat eine sehr glatte Oberfläche, was den Kronenrand sehr verträglich für des Zahnfleisch macht. Das weißliche, leicht durchscheinende Gerüst lässt die Versorgung sehr natürlich erscheinen.
Beispiele Vollporzellanversorgung/
Veneers
Vollkeramische Restaurationen sind in der Prothetik nicht mehr wegzudenken, um höchste ästhetische Ansprüche zu erfüllen.
Veneers sind vollkeramische Verblendschalen, die adhäsiv auf die Zähne geklebt werden. Die Zähne sind minimal bis gar nicht präpariert. Mit den Veneers ist es möglich, Zahnfehlstellungen, Verfärbungen und Lücken ästhetisch dauerhaft zu korrigieren.
Ein Patientenfall verdeutlicht die ästhetischen Möglichkeiten der Veneers.
Beispiele Kombinierte Arbeit
Auch unsere kombinierten Arbeiten werden in der Regel aus edelmetallfreien Legierungen gefertigt.
Die Friktion der Modellgussbasen an den vorgefertigten Kronen oder Brücken geschieht durch Interlocks, Umlaufgeschiebe sowie Schwenkriegel bzw. individuelle Geschiebe.
Im folgenden Beispiel sehen Sie eine Modellgussprothese, welche auf zwei Frontzahnbrücken mit den oben genannten Friktionshilfen fixiert wurde.
Beispiele Implantate
Individuell gestaltete Implantataufbauten bieten die Möglichkeit, eine möglichst natürlich Kronenform zu gestalten.

